Lung Cancer

Lung Cancer

A profound understanding of the facetted characteristics and behavior of a tumor demands deep and integrated knowledge among clinical experts collaborating in interdisciplinary teams – a joint effort to empower personalized cancer care. By strategically combining advanced imaging, IT, and laboratory applications as well as therapy, lung cancer management can be improved along the patient pathway. Explore our holistic portfolio for lung cancer and discover how our advanced solutions support you every step of the pathway – from screening to follow-up.

  1. Explore our portfolio of ultra-low-dose CT scanners and AI tools that support you in your diagnostic assessments of lung cancer nodules during screening.

​Screening


Detecting early-stage lung cancer with low-dose CT scanning can dramatically improve the long-term survival rate of lung cancer patients. A study4 shows that patients diagnosed with lung cancer by low-dose CT screening have a 20-year survival rate of 81%. If diagnosed in the earliest Stage I and if adequate therapy has been applied, long-term survival was 95%. This emphasizes the benefit to establish screening programs for earlier detection. Our ultra-low-dose CT scanners and AI tools help you deliver confident and accurate screening outcomes.

Low-dose CT scanners for lung cancer screening

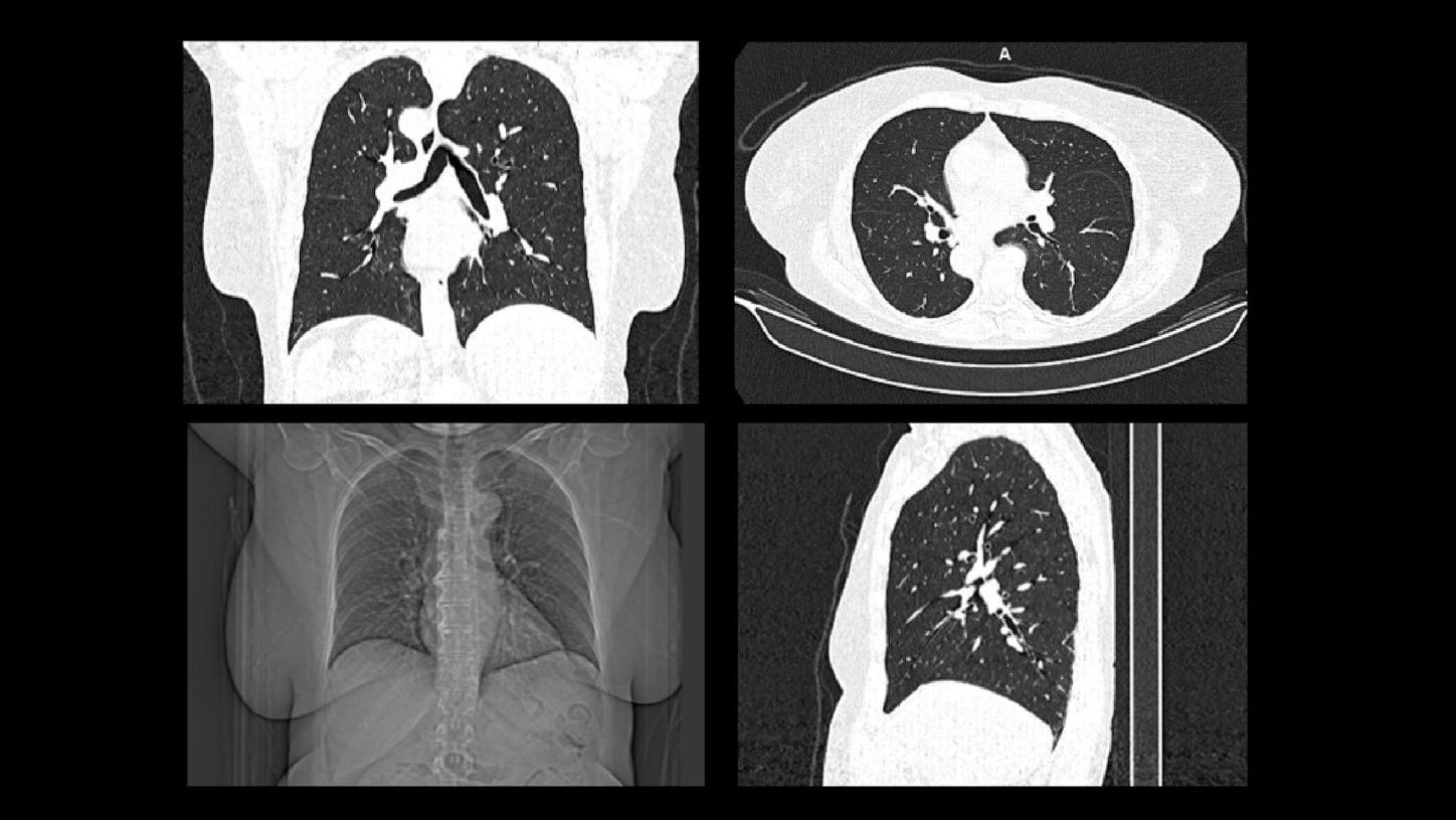
Ultra-low-dose CT scanners

Our CT scanners come with advanced technology inside that allows ultra-low-dose, non-contrast chest CT scans for a screening examination.

Lung cancer workflow powered by AI solutions

Smart AI tools

A smart augmented reading aid and AI-powered workflow solution help reduce repetitive tasks and supports diagnostic precision by detecting and highlighting possible nodules.

 

Therapy monitoring and follow-up in lung cancer are key to personalizing patient care. Monitoring tumor response allows for timely adjustment of the chosen therapy. Three challenges have to be met: timely communication, medical data management, and thorough patient engagement.

Explore our portfolio for lung cancer monitoring & follow-up

 

Ultra-low-dose CT scans for lung cancer monitoring and follow-up

Ultra-low-dose CT

Through functional examinations such as tissue perfusion or iodine quantification, our SOMATOM CT scanners enable early assessment of lung tumor response or disease progression.


Tumor marker tests for lung cancer monitoring and follow-up

Tumor marker tests

Tumor marker tests are available on the Atellica® IM Analyzer and ADVIA Centaur® Immunoassay Systems to assess and monitor squamous cell carcinoma in the head, neck, lung and cervix.


Video consultation solution for lung cancer monitoring and follow-up

eHealth Virtual Visit

Secure13 live video consultation that transforms care delivery by enabling timely and precise clinical decision making. Healthcare providers and patients can interact virtually just in minutes14.

Noona mobile app facilitates lung cancer monitoring workflow

Noona

The mobile app enables patients to actively participate during their therapy and follow up. Treatment insights, personalized education, and real-time recording of ePROs foster a collaborative approach to individualizing and optimizing post-treatment care.

 

Explore the perspectives of pioneers who are seeking new ways to provide better healthcare, including advancements in lung cancer screening, diagnosis, and treatment. 

More information

 

Clinical Specialties Lung Cancer

AI in lung screening and beyond

Download our flyer "AI in lung screening and beyond" and learn how AI can potentially increase the efficiency of lung screening.15

Dowload our whitepaper on PET/CT imaging after abdominal surgery

Case study

Download our case study “PET-CT delineation of implantation metastases along the surgery corridor after abdominal surgery in a patient with NSCLC”.

Enhanced lung cancer imaging with our CT Oncology Engine

CT Oncology Engine

Make confident diagnostic decisions backed by high-end CT image quality. Find out more about our CT Oncology Engine that enhances precision in oncology imaging.

3
5
6
7
8
9
10
12
13
14
15