MAMMOMAT B.brilliantExclude the maybes

There shouldn't be anything inconclusive about breast cancer screening – and yet that's the reality for too many women. We think that it’s time to change that. Meet MAMMOMAT B.brilliant, a whole new mammography system that brings you the next generation of 3D mammography. Experience:

  • PlatinumTomo, a completely new breed of tomosynthesis image acquisition technology
  • 50° Wide-Angle Tomosynthesis scan time of just 5 seconds2,3
  • Excellent in-plane resolution, best in-depth resolution1, and customizable image impression
  • A completely new system design that's focused entirely on the patient and the radiographer
Icon of the Frost & Sullivan innovation award
reddot winner 2025
The new mammography and tomosynthesis system from Siemens Healthineers: MAMMOMAT B.brilliant.

Benefits

MAMMOMAT B.brilliant performs a 50° Wide-Angle Tomosynthesis scan.

A completely new breed of tomosynthesis image acquisition

> Meet PlatinumTomo

  • 50° Wide-Angle Tomosynthesis
    • The highest depth resolution and mass detectability in mammography.2
  • Unique flying focal spot technology 
    • Excellent in-plane resolution and acquisition speed
    • Perform a 50° Wide-Angle Tomosynthesis scan time in just 5 seconds2,3
  • Cutting-edge detector
    • Faster read-out time for higher image acquisition speed
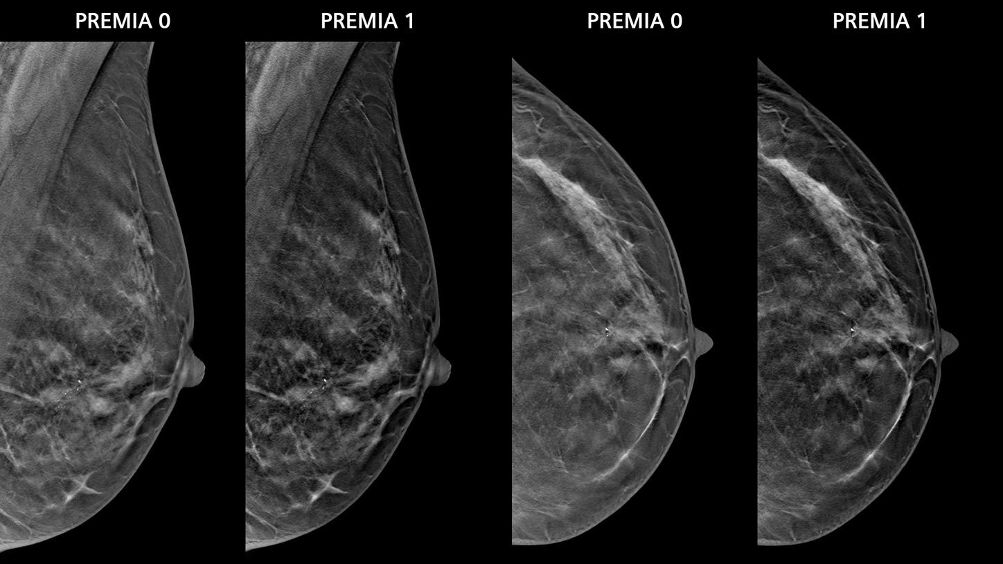
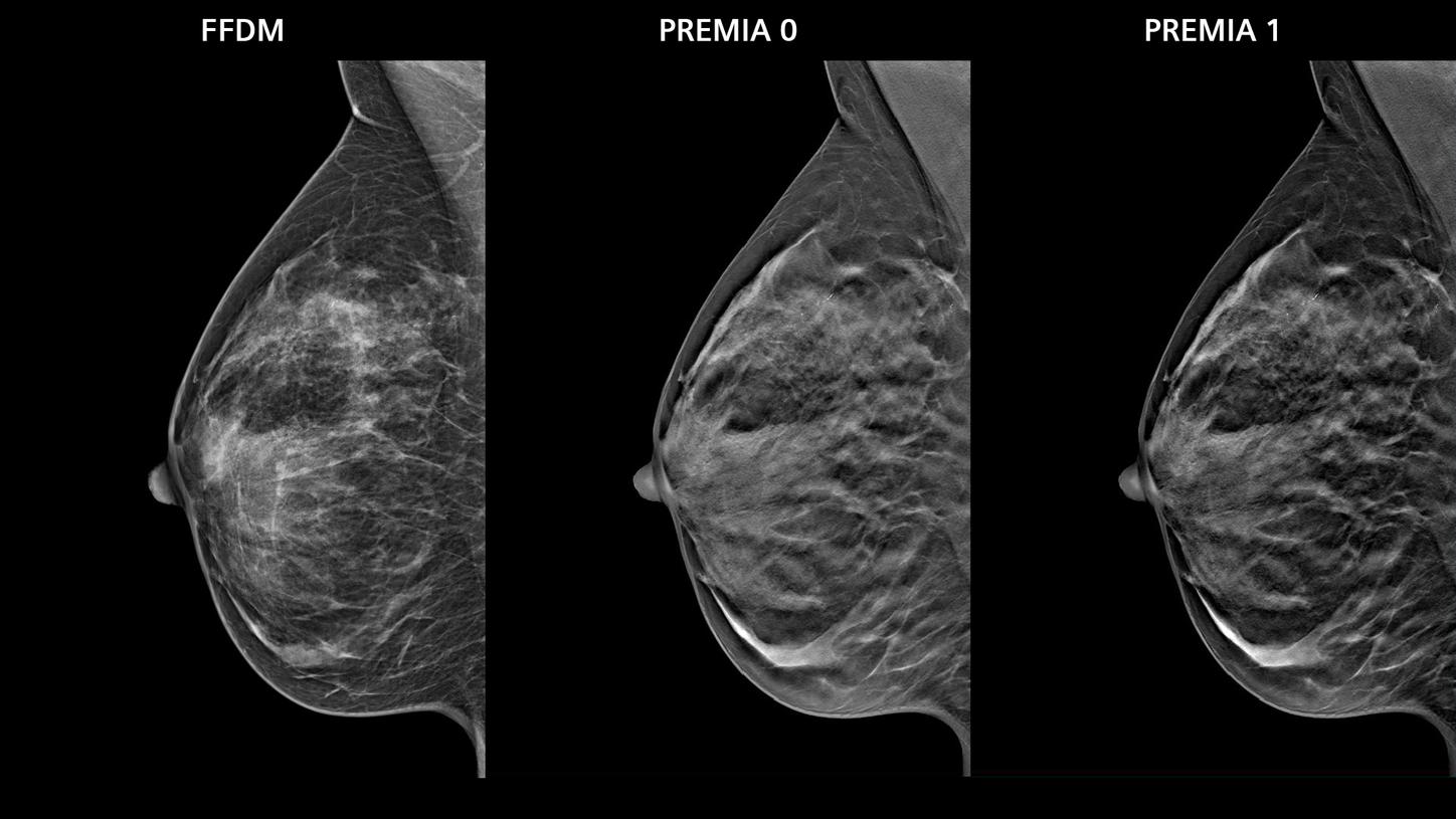
  • PREMIA image reconstruction: 
    Improved image reconstruction framework
    • Reduce artifacts and enhance visibility of calcifications and lesions
    • Comfortable transition from 2D and narrow-angle systems, thanks to customizable image impressions
    • Boost synthetic mammogram sharpness, thanks to AI-powered noise reduction

MAMMOMAT B.brilliant has a screen at eye level that displays all the relevant information: workflow steps, compression, system movement, and more.

More transparent processes during the examination

Patient and workflow information are always in sight on a screen at eye level – including next workflow steps, information on compression and system movement, breast thickness, and more.

  • All patient information at hand
  • Workflows displayed where you need them
  • Receive information on the current and upcoming workflow steps

MAMMOMAT B.brilliant's tube unit moves independent of the bucky table, allowing the MTA easy access to the patient during positioning.

Independent movement, easy patient access

ComfortMove aims to significantly reduce physical strain on radiographers caused by mammography examinations. Thanks to independent movement of the tube unit from the table, you can easily access your patient during the MLO positioning process – without having to bend under the tube unit. An additional work light and positioning laser provide even more support for accurate positioning.

  • Easier and optimized patient positioning
  • More freedom of movement for radiographers and patients
  • Radiographers may avoid physical strain

The patient rests her head on the MAMMOMAT B.brilliant's transparent face shield during the scan.

Create more stability and comfort for patients

The transparent face shield lets your patients rest their headcomfortably during scans. And thanks to our scan time of no more than 5 seconds, patients get scanned extremely quickly.2,3

  • Enhance patient comfort during tomosynthesis
  • Get optimal images thanks to stabilized patient positioning
  • Increase workflow speed

MAMMOMAT B.brilliant performs a 50° Wide-Angle Tomosynthesis scan.

A completely new breed of tomosynthesis image acquisition

> Meet PlatinumTomo

  • 50° Wide-Angle Tomosynthesis
    • The highest depth resolution and mass detectability in mammography.2
  • Unique flying focal spot technology 
    • Excellent in-plane resolution and acquisition speed
    • Perform a 50° Wide-Angle Tomosynthesis scan time in just 5 seconds2,3
  • Cutting-edge detector
    • Faster read-out time for higher image acquisition speed
  • PREMIA image reconstruction: 
    Improved image reconstruction framework
    • Reduce artifacts and enhance visibility of calcifications and lesions
    • Comfortable transition from 2D and narrow-angle systems, thanks to customizable image impressions
    • Boost synthetic mammogram sharpness, thanks to AI-powered noise reduction

Evidence

 

Mammography - White Paper

White Paper & External Publications

Read more about the latest withe papers and external publications. 

Mammography – Customer Testimonials and Webinars & Clinical Talks

Breast Imaging World

Step into the future of mammography education: unleash your expertise with our comprehensive clinical learning and event platform! Join us today. 

Case Studies

Mammography Case Studies

Discover how our mammography solutions improve breast cancer detection with accurate, human-centric, and cost-effective imaging in real case studies.

MAMMOMAT B.brilliant Key Visual

A combination of well-known state-of-the-art components with the latest hard- and software achievements allows us to offer you a new dimension of image acquisition and image quality in tomosynthesis.

Technical Details

Tomosynthesis

Image impression

5 different options for contrast and image sharpness for FFDM and synthesized 2D.
2 options for contrast and image sharpness for tomosynthesis projections.

Angular range and sweep

50° wide angle (+/- 25°); continuous high-speed tomosynthesis sweep

Tomosynthesis projections

25 low-dose projections

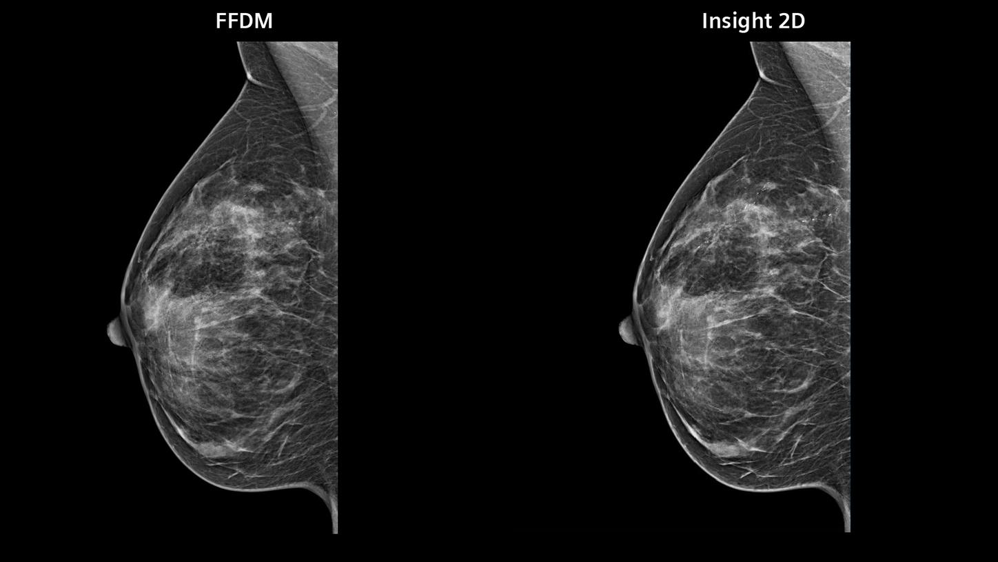
Synthetic imaging

Synthesized 2D mammographic imaging (Insight 2D) and unique, rotating synthesized
3D mammographic imaging (Insight 3D)

Examination duration

4-view wide-angle DBT exams in just under 4 minutes

Tomosynthesis workflow/
scan times

Scan time < 5 seconds2,3. Compression time ~11 seconds.

Reconstruction technology

Performance reconstruction with expedited methodology for iterative assessment.
AI-powered noise reduction and reduced metal and in-plane artifacts.

Detector

Static (not rotating); no binning

Dose

Low dose technology

PRIME technology: software solution to replace anti-scatter grid for up to 20% dose savings in FFDM

Dose levels

OpDose – five different exposure parameters for optimized patient dose

Biopsy and CEM

 

Learn more about breast biopsy

Tomo-guided targeting

50° wide angle for highest depth resolution1

Target accuracy

+/- 1 mm

Specimen scanner

Integrated InSpect specimen scanner on same detector at no additional cost

Mounting

Mountable without having to remove the detector cover or any other parts

Needle holder movement

Motorized to X, Y, and Z directions

Needle localization

Possible in 2D and 3D: visual feedback on needle position thanks to needle navigator

Filter for CEM examinations
(TiCEM)

Titanium 
Learn more about TiCEM

Patient experience

Patient grip

Optimized grip for a secure hold while avoiding too much tension

Fixed face shield

Detachable and transparent face shield that allows the patient to rest her head comfortably

Ambient lighting

MoodLight luminated design function available for better patient experience

Compression paddles

Rounded edges and soft polymer to enhance patient experience

Compression

Personalized; automated compression to increase comfort

Compression speed

Unique SoftSpeed – paddle slows its movement as soon as it touches the breast

Patient breathing

Complete free-breathing acquisitions

User experience and workflow

ComfortMove

ComfortMove incl. positioning laser, provide the possibility to move tube-head out-of-the way for easier positioning in oblique projections 

ComfortView

Digital display showing basic and advanced information on the current and next examination steps for screening and diagnostic applications

Automatic movement

Automatically move gantry from one projection position to another with single touch of a button

System start-up time

< 5 minutes

Swivel range

+180° to -180°, motorized isocentric rotation with preselectable rotation angle

Breast density measurements

Volumetric measurement is automatically calculated and visible at AWS after the first view

Adjustable table height

66 cm (26“) to 154.5 cm (60.8“) 

Service and reliability

Detector specifications

Amorphous Selenium (aSe); 24 cm × 30 cm (9.5“ × 12“)

Detector cooling

No wait time 

Calibration

Once every 3 months

Downloads

Get all the product details at one glance 

Download our product brochure to get all information. 

1
2
3
4
5
6
7
8