Key Visual Siemens Healthineers Quantum Technology showirng the face of a middle-aged women, next to the abstract visualization of a photon-counting detector with its precise pulses

NAEOTOM Alpha with Quantum TechnologyThe world's first photon-counting CT

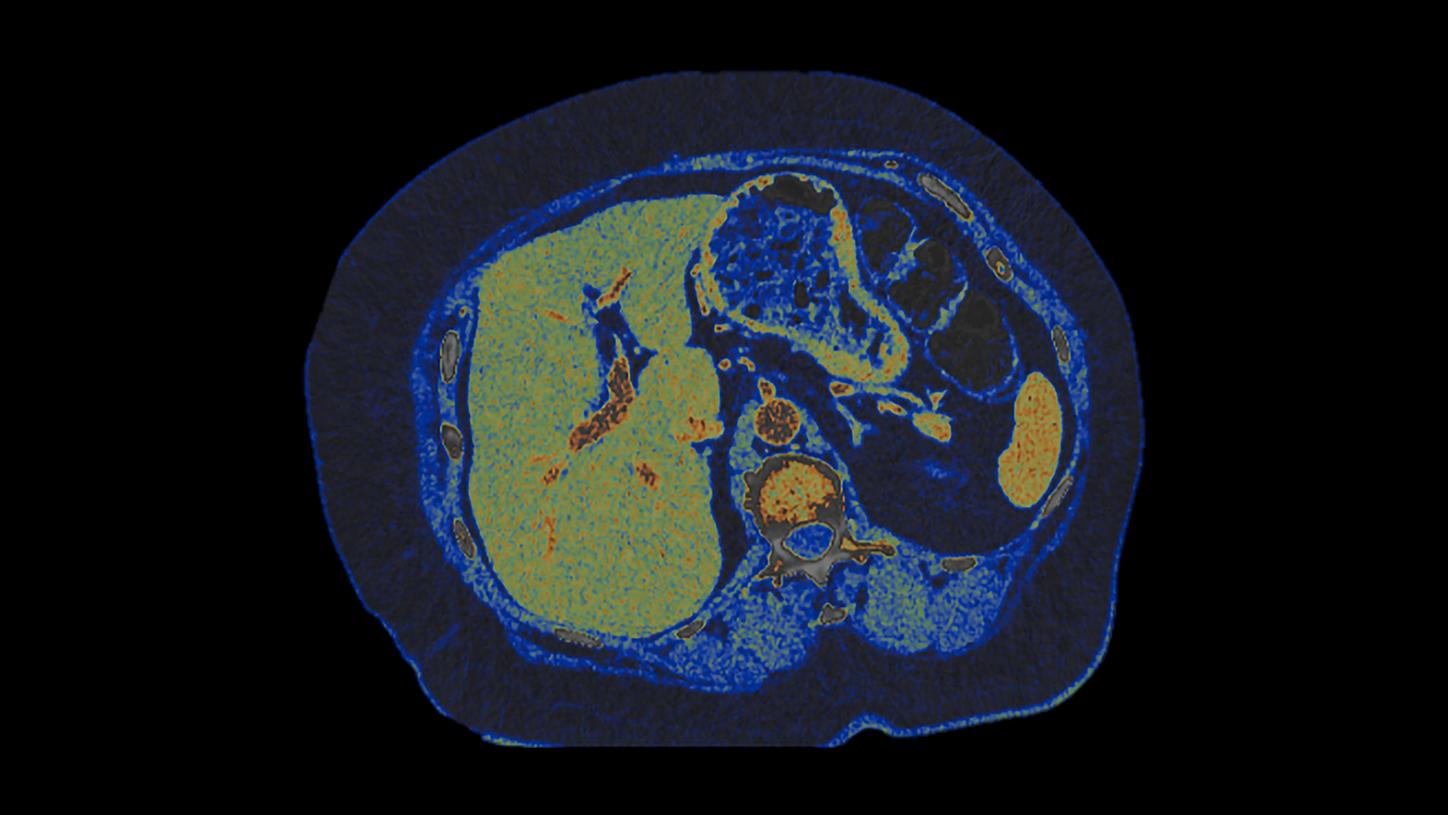
NAEOTOM Alpha with Quantum Technology is the first photon-counting CT in clinical use, awarded the iF Design Award 2022 and reddot award 2022.

In 2021, NAEOTOM Alpha® with Quantum Technology was the first photon-counting CT in clinical use. And now, the next generation has arrived: NAEOTOM® Alpha.Peak debuts with the proven technology of the original as the pinnacle of the NAEOTOM Alpha class. Explore the evolution. 

NAEOTOM Alpha with Quantum Technology, the world's first photon-counting CT, marked the beginning of the photon-counting CT era. Its never-seen before technology is designed to guide therapeutic and clinical decision-making for more patients.

Abstract cross-section of the QuantaMax detector: X-ray photons that are converted to an electrical charge by the crystal semi-conductor.

At the heart of NAEOTOM Alpha® is a radically new photon-counting detector. The QuantaMax detector directly converts X-rays into an electrical signal, which is then used to create an image. The energy of each X-ray is measured, so spectral information is available for every scan, and the images are contrast-rich with high spatial resolution at the same dose. Combining the high spatial resolution of the QuantaMax photon-counting detector with our Dual Source temporal resolution enables the visualization of fine details for increased diagnostic confidence. 

Features & Benefits

Key technologies


NAEOTOM Alpha with Quantum Technology is the reinvention of computed tomography and offers a radically new way of generating clinical results. It incorporates innovative technologies designed to overcome the limitations of conventional CT scanners.

Close-up of sensor boards in the production mount

Precision QuantaMax detectors 

QuantaMax, the first photon-counting detector, overcomes the limitations of conventional CT detectors by providing data at high spatial resolution, without electronic noise and with improved contrast-to-noise ratio.

Image of a full Vectron X-ray tube

Full Vectron X-ray power 

Vectron X-ray tube enables high image quality, even for patients with high BMI. The microfocal spot (0.4 mm x 0.5 mm) allows to utilize the high spatial resolution of the QuantaMax detectors.

3D visualization of the two tubes and two detectors of a Dual Source CT scanner

Unmatched Dual Source speed 

The unique Dual Source technology enables a native temporal resolution of 66 ms and a scan speed of up to 74 cm/sec – mastering even the most challenging imaging tasks.

User experience  


NAEOTOM Alpha was developed with clinical users in mind. The system supports and guides users throughout the scan, while AI-enabled solutions help radiologists when reading cases.

NAEOTOM Alpha was developed with clinical users in mind. The system supports and guides users throughout the scan, while AI-enabled solutions help radiologists when reading cases.

myExam Companion  

myExam Companion supports efficient scanner operation, consistent results and personalized patient care. It is suitable for users of all skill levels working across different patient groups and sites with varying throughput levels. 

A technician controls a CT scan using a tablet and GO technologies.

Automated GO technologies  

Accessible via tablet or workstation, GO technologies are a set of technologies that standardize and simplify all departmental processes – from patient setup to image distribution, archiving, and reading.

Image of a FAST 3D Camera, which standardizes isocentric patient positioning by capturing the patient’s shape, position, and height in 3D.

FAST 3D Camera

The FAST 3D Camera offers standardized isocentric patient positioning by capturing the patient’s shape, position, and height in three dimensions, enabling the optimization of organ dose and improving image quality.


Patient experience

NAEOTOM Alpha also offers improvements for patients with unprecedented levels of comfort and support.

Technical Details

    X-ray tubes

    2 x Vectron X-ray tubes

    Detector

    2 x QuantaMax photon-counting CT detectors

    Max. number of acquired slices

    2 x 144 slices

    Max. number of reconstructed slices

    2 x 288 slices

    mA

    Up to 1300 mA

    Temporal resolution

    Down to 66 ms

    kV

    70, 90, 120, 140 kV
    Sn100, Sn140 kV

    z-coverage

    144 x 0.4 mm
    120 x 0.2 mm (Quantum HD)

    Spatial resolution

    0.11 mm (in-plane) in Quantum HD    

    Power

    2 x 120 kW

    Table load

    Up to 307 kg

    Speed

    Up to 737 mm/s (with Turbo Flash)

    1
    2