Redefine the pediatric patient experience 

Children differ fundamentally from other patient groups in terms of their emotional and cognitive needs. To offer children the best possible treatment, Siemens Healthineers and its partners have developed a holistic approach that will enable a smooth performance of imaging examinations (CT, fluoroscopy, MRI and Mobile X-ray) on children. Child-friendly preparation and supporting materials are designed to help reduce the perceived stress level of medical staff, children, and parents, to enable a smooth examination process for all involved.

Parents

Siemens Healthineers kindly welcomes you to our pediatric patient experience page, which gives you and your child the opportunity to prepare yourselves for the upcoming imaging examination together with our holistic approach with Gerda, the Brave Giraffe.

In this section, you will find useful information about the different kinds of imaging examinations as well as materials to download, to help your child to be thoroughly prepared for the examination. Together with Gerda, the Brave Giraffe, we look at how you can prepare for and what to expect on the examination day.

 

Ideal patient journey

Fluoroscopy (fluoroscopic examination) uses X-rays to generate real-time moving images of the inside of a patient. It is like a video made up of dynamic X-ray images. Using a digital detector, the images are displayed on the monitor.

The fluoroscopy procedure is performed using a large screening device. This procedure is unfamiliar to children and can cause a variety of reactions. While one child will be excited and curious about the machine, others will be afraid of spending time in the treatment room.

What to expect from an MRI exam? Watch this video to find out.

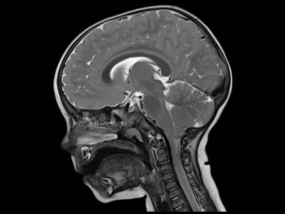
Magnetic resonance imaging (MRI)1 is often used to depict internal organs. Unlike other imaging procedures, the MRI scanner works with a magnetic field and radio waves, which means there is no radiation exposure. An MRI examination can only be conducted using a lot of technology and a large machine. This procedure is unfamiliar to children and can cause a variety of reactions. While one child will be excited and curious about the machine, others will be afraid of spending time in the treatment room.

Mobile x-ray - MOBILETT Elara Max
Mobile X-ray uses X-ray imaging technology in a mobile form. It captures images of the inside of the body quickly and painlessly. It assists doctors in visualizing bones and organs with dedicated low-dose organ programs. It can be moved around and allows imaging in many clinical settings.

Listen now or stream via Amazon Music, Apple Music, and Spotify.

 

Professionals & clinicians

Customer Voice Pediatric Experience - Domnica Calin

The materials involving Gerda, the Brave Giraffe for the preparation of children and their accompanying persons support you in communicating with the families. The materials were developed together with children, parents, psychologists, radiologists, and radiological technologists in various hospitals. We also provide recommendations for their most effective use. We hope you enjoy our holistic concept with Gerda, the Brave Giraffe.

Explore how Radiologist Domnica Calin describes the impact of the children's book Gerda, the Brave Giraffe on pediatric MRI procedures at "Scanexpert," a private diagnostics clinic in Chisinau, Moldova.

Pediatric experience - Ideal patient story

The materials will give you the best results for your clinical routine if they are used in a certain order, preferably several days before the planned examination. So, you can choose to have the materials sent directly to your referring physician when reordering. The material is designed for families and children aged 3-9 years. We recommend using the book in combination with the audio material before the examination. The book contains interactions that are designed to be used in the book, not digitally. So that the child recognizes the familiar theme in the hospital, Gerda, the Brave Giraffe is also available as a theme world for the waiting room or the examination room (please use the feedback option below for this request).

We welcome any feedback on our pediatric experience materials.

1