- Home
- Clinical Fields
- Neurology
- Stroke care
When stroke strikes,
be ahead of your time.
For stroke patients, time is of the essence. Every minute saved can positively impact patient outcomes.
That’s why it’s key to save time along the entire stroke pathway – from the onset of stroke to treatment and follow-up.

Webinar recording now available
Patient stories
Stroke patients tell their stories – about how fast care saved their lives*
Did you know that nearly 60% of all new ischemic strokes happen in people younger than 70, and that 7% occur in people under 44?2
Watch the incredible stories of Stéphane, Zosia, Sebastian, and Gerald – and learn how fast response and treatment can make a difference to a good recovery.
When every second counts, having the right technology matters
Stroke can happen to anyone
Zosia, a 14-year-old student, suffered a stroke during a school day. Her story shows that a rapid response from the surrounding community is critical to the outcome of stroke. Watch her story to learn how Justin Singer, MD, was able to quickly treat and restore blood flow to her brain.
When life gives you a second chance
Stéphane, a father of two, suffered a stroke right after he woke up one morning. Watch the video and find out how the fast reactions of his wife, the paramedics, and the hospital staff played a crucial role in getting the blood flow to his brain restored quickly, leaving him with no disabilities.
From stroke to soccer in just one week
When every second counts, having the right technology matters
Stroke can happen to anyone
Zosia, a 14-year-old student, suffered a stroke during a school day. Her story shows that a rapid response from the surrounding community is critical to the outcome of stroke. Watch her story to learn how Justin Singer, MD, was able to quickly treat and restore blood flow to her brain.
When life gives you a second chance
Stéphane, a father of two, suffered a stroke right after he woke up one morning. Watch the video and find out how the fast reactions of his wife, the paramedics, and the hospital staff played a crucial role in getting the blood flow to his brain restored quickly, leaving him with no disabilities.
From stroke to soccer in just one week
When every second counts, having the right technology matters
Customer stories

Johan Wassélius, MD, PhD, Senior Interventional Neuroradiologist at Skåne University Hospital Lund and Associate Professor at Lund University, Sweden
Improving the stroke pathway in southern Sweden
Distance is a real challenge in Sweden’s southernmost stroke network. Travel time to the nearest hospital can vary drastically. To address this situation Skåne University Hospital and the 13 regional Primary Stroke Centers (PSC) have installed a spoke-and-hub system with a number of procedural adjustments intended to speed up the pathway and improve diagnosis, especially for patients eligible for thrombectomy at the Comprehensive Stroke Center (CSC)*
"At every step of the stroke chain, we try to be as fast as possible [...], to allow the patient to get its treatment as soon as possible of their onset, to achieve the best possible outcome for each patient."
Carlos Molina, MD from Vall d'Hebron hospital in Barcelona
Optimizing the stroke pathway in Barcelona
Carlos Molina, MD, and Alejandro Tomasello, MD, from Vall d'Hebron hospital in Barcelona aim to overcome bottlenecks in the workflow for stroke by using our technology in their one-step approach to stroke treatment. They were able to shorten the door-to-groin time to less than 30 minutes - an important step in improving patient outcomes.

Johan Wassélius, MD, PhD, Senior Interventional Neuroradiologist at Skåne University Hospital Lund and Associate Professor at Lund University, Sweden
Improving the stroke pathway in southern Sweden
Distance is a real challenge in Sweden’s southernmost stroke network. Travel time to the nearest hospital can vary drastically. To address this situation Skåne University Hospital and the 13 regional Primary Stroke Centers (PSC) have installed a spoke-and-hub system with a number of procedural adjustments intended to speed up the pathway and improve diagnosis, especially for patients eligible for thrombectomy at the Comprehensive Stroke Center (CSC)*
"At every step of the stroke chain, we try to be as fast as possible [...], to allow the patient to get its treatment as soon as possible of their onset, to achieve the best possible outcome for each patient."
Carlos Molina, MD from Vall d'Hebron hospital in Barcelona
Optimizing the stroke pathway in Barcelona
Carlos Molina, MD, and Alejandro Tomasello, MD, from Vall d'Hebron hospital in Barcelona aim to overcome bottlenecks in the workflow for stroke by using our technology in their one-step approach to stroke treatment. They were able to shorten the door-to-groin time to less than 30 minutes - an important step in improving patient outcomes.

Johan Wassélius, MD, PhD, Senior Interventional Neuroradiologist at Skåne University Hospital Lund and Associate Professor at Lund University, Sweden
Improving the stroke pathway in southern Sweden
Distance is a real challenge in Sweden’s southernmost stroke network. Travel time to the nearest hospital can vary drastically. To address this situation Skåne University Hospital and the 13 regional Primary Stroke Centers (PSC) have installed a spoke-and-hub system with a number of procedural adjustments intended to speed up the pathway and improve diagnosis, especially for patients eligible for thrombectomy at the Comprehensive Stroke Center (CSC)*
"At every step of the stroke chain, we try to be as fast as possible [...], to allow the patient to get its treatment as soon as possible of their onset, to achieve the best possible outcome for each patient."

Stroke solutions
As your partner in stroke management, we keep you ahead of your time. Our advanced technologies let you speed up stroke care and transform care delivery along the entire pathway – from stroke screening and pre-hospital diagnosis and care to in-hospital diagnosis and treatment and (secondary) stroke prevention to follow-up imaging. Explore our offerings for stroke care!

Clear image quality for confident diagnosis and treatment
To quickly and confidently diagnose stroke, assess its impact, and perform mechanical thrombectomy, you need clear information. All our CT and MRI scanners as well as angiography systems let you see even small anatomical details in excellent quality. See for yourself!*

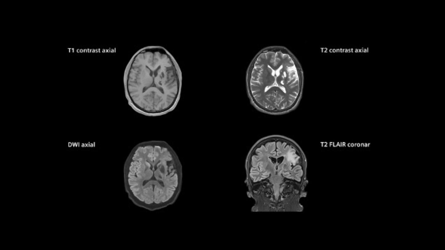
MAGNETOM Vida: Standard stroke protocol
example of hemorrhage visualization


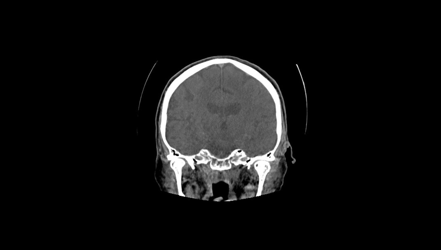
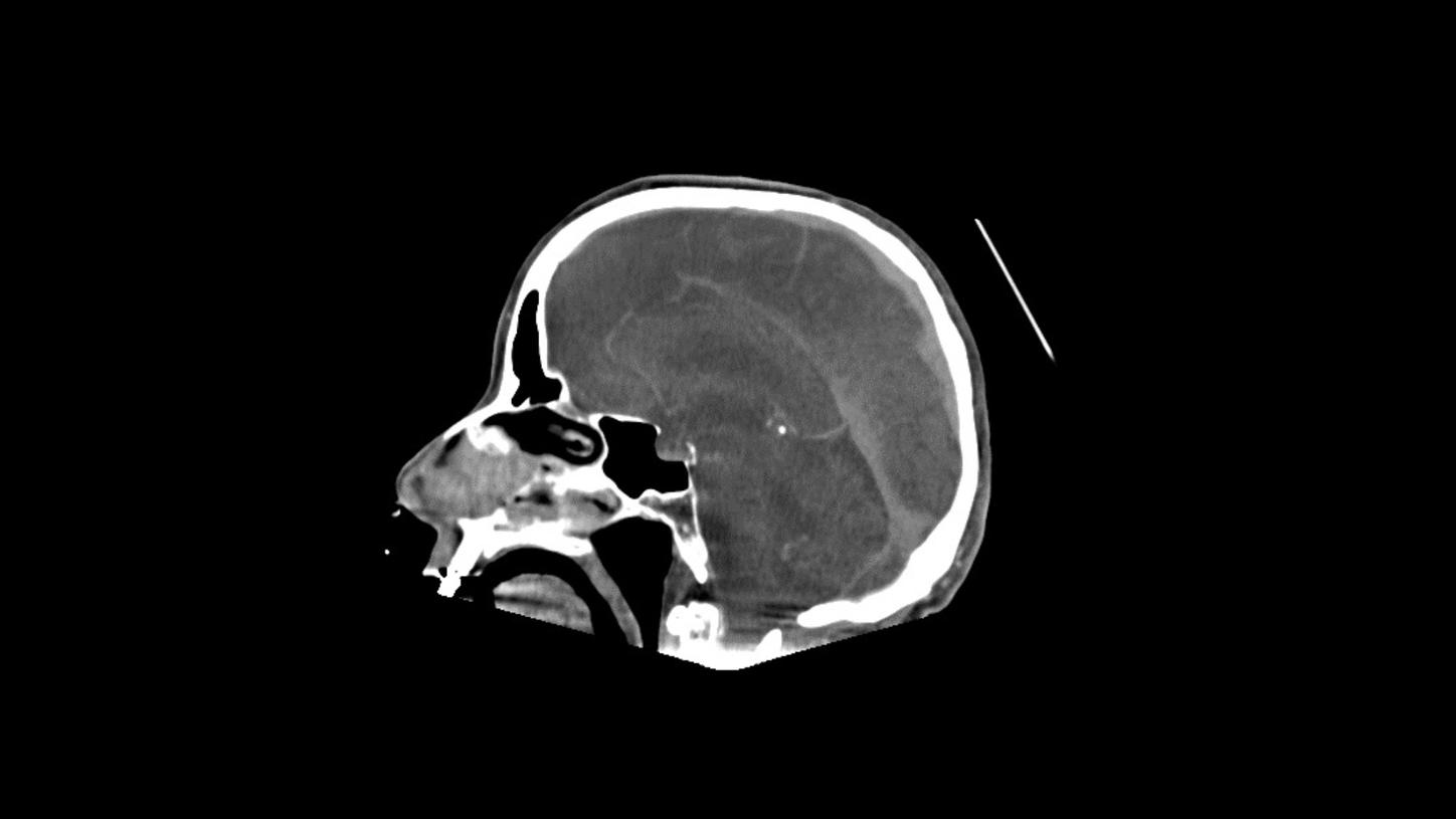
Native syngo DynaCT Sine Spin
syngo DynaCT Sine Spin improves the image quality of cranial Flat-Detector CT (FDCT) scans, especially in the posterior fossa and the basal part of the skull. syngo DynaCT Sine Spin reduces artifacts caused by bony structures.
SPINNERS
Siemens Healthineers is the grant giver of the investigator-initiated SPINNERS study, a clinical trial planned and performed by Prof. Marios-Nikos Psychogios, University Hospital Basel, Switzerland and Dr. Adam S. Arthur, University of Tennessee Health Sciences Center and Semmes-Murphey Clinic, Memphis, US.
The study is designed to evaluate whether FDCT imaging with syngo DynaCT Sine Spin has likewise high diagnostic accuracy compared to Multi-Slice CT (MSCT) in detecting intracranial bleeding.
Find out more: Official Study Registry
Read more about the clinical investigators: One stop in stroke

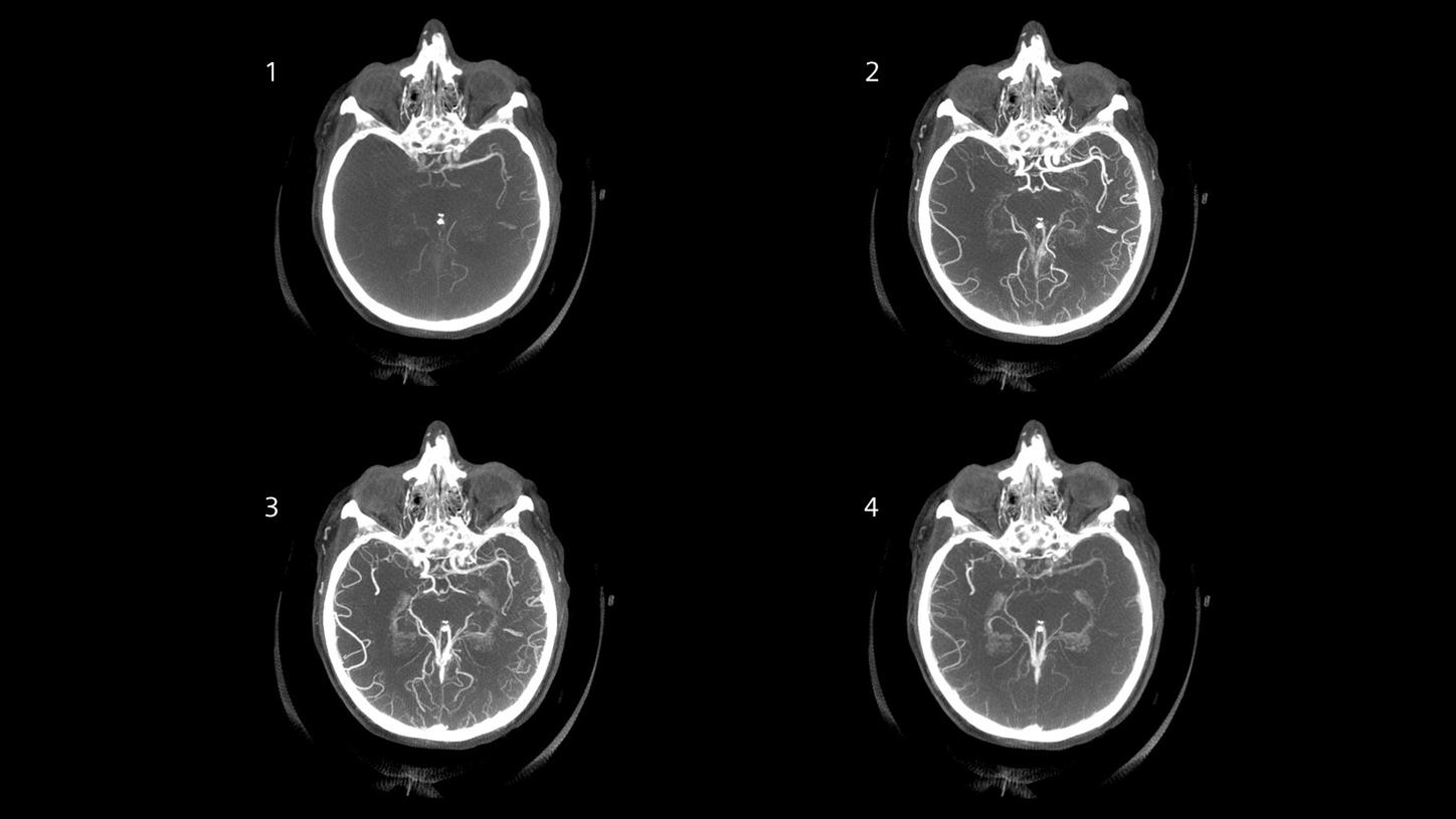
syngo DynaCT Multiphase
AP projection
Lateral projectionFollow-up DSA to visualize treatment success

- Follow-up syngo DynaCT after clipping, with intravenous contrast media injection
- Axial maximum intensity projection of the clipped aneurysm

- Follow-up syngo DynaCT after clipping, with intravenous contrast media injection
- Dual-volume vessel presentation of the clipped aneurysm

Native head scan
Assist with or support differential diagnosis of acute stroke with excellent gray-white matter differentiation and contrast enhancement

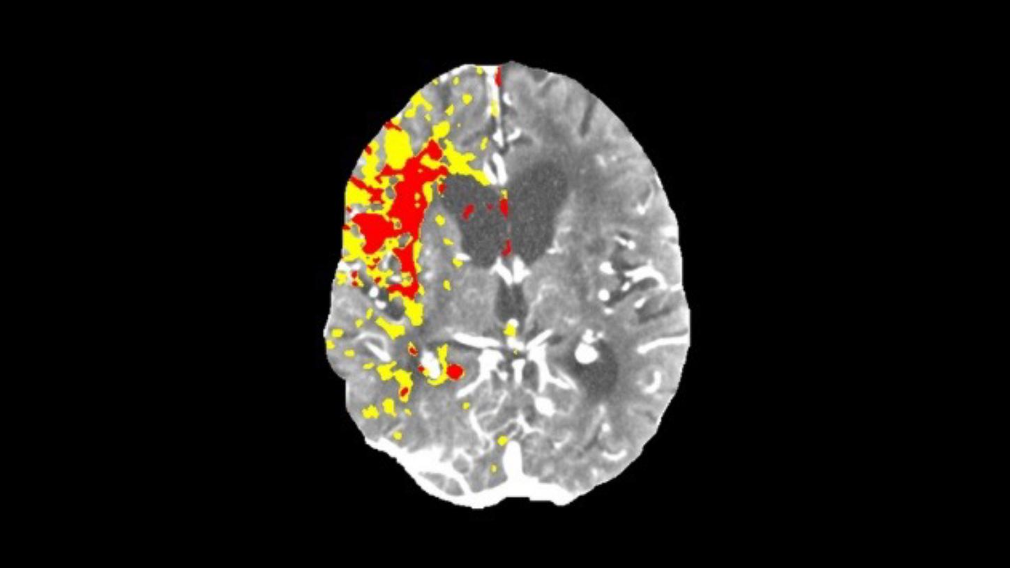
Perfusion scan
Evaluation of infarct core and penumbra by automatically providing perfusion maps for further treatment decisions

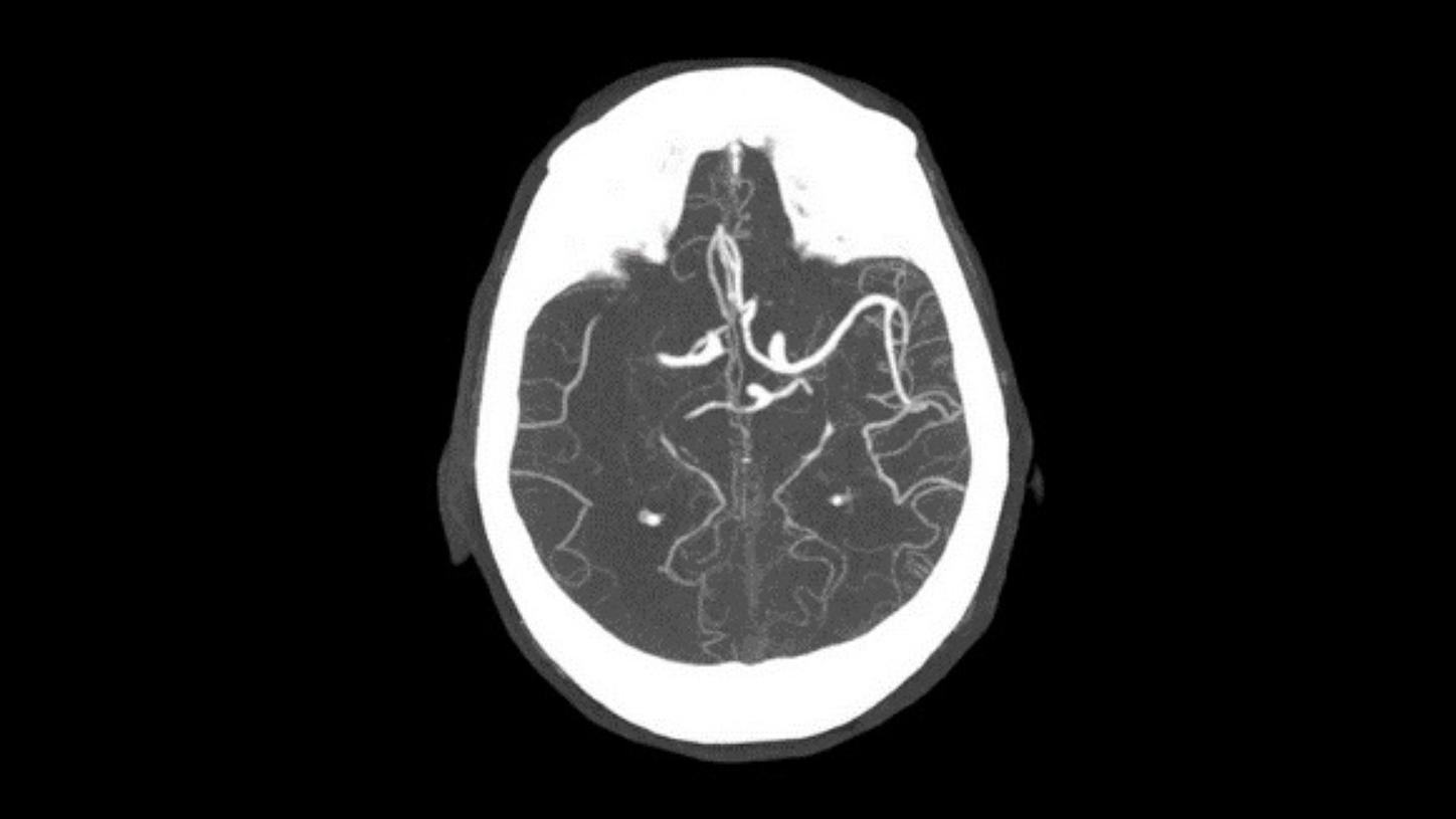
Angiography
CT planning of the following treatment with definition of occlusion length and collateral status and automated bone removal

syngo.CT DE Brain Hemorrhage
Discriminate hemorrhage from iodine uptaking lesions

Cinematic VRT
Clearly visualize clots and get photorealistic and easy-to-understand material for education, publication, and communication

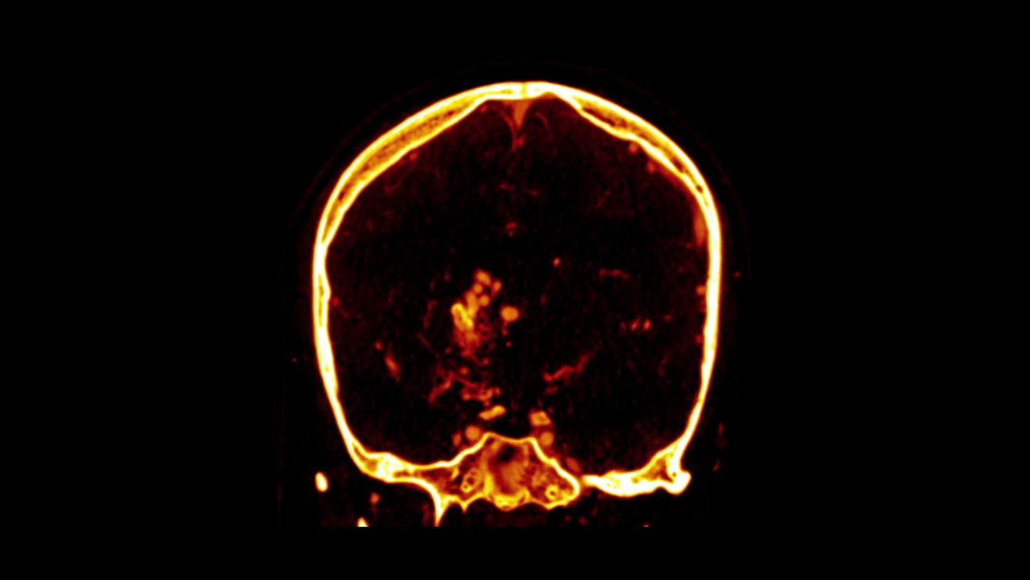
Bone removal solutions
Available for different acquisition techniques for automatic case preparation, image pre-processing, and prior study pre-fetching

GOBrain1) allows push-button brain exams in 5 minutes2)
1) Prakkamakul et al. “Ultrafast brain MRI: Clinical deployment and comparison to conventional brain MRI at 3T.” J of Neuroimaging 2016
2) MAGNETOM Skyra, Head 32 coil. Exam times will vary.

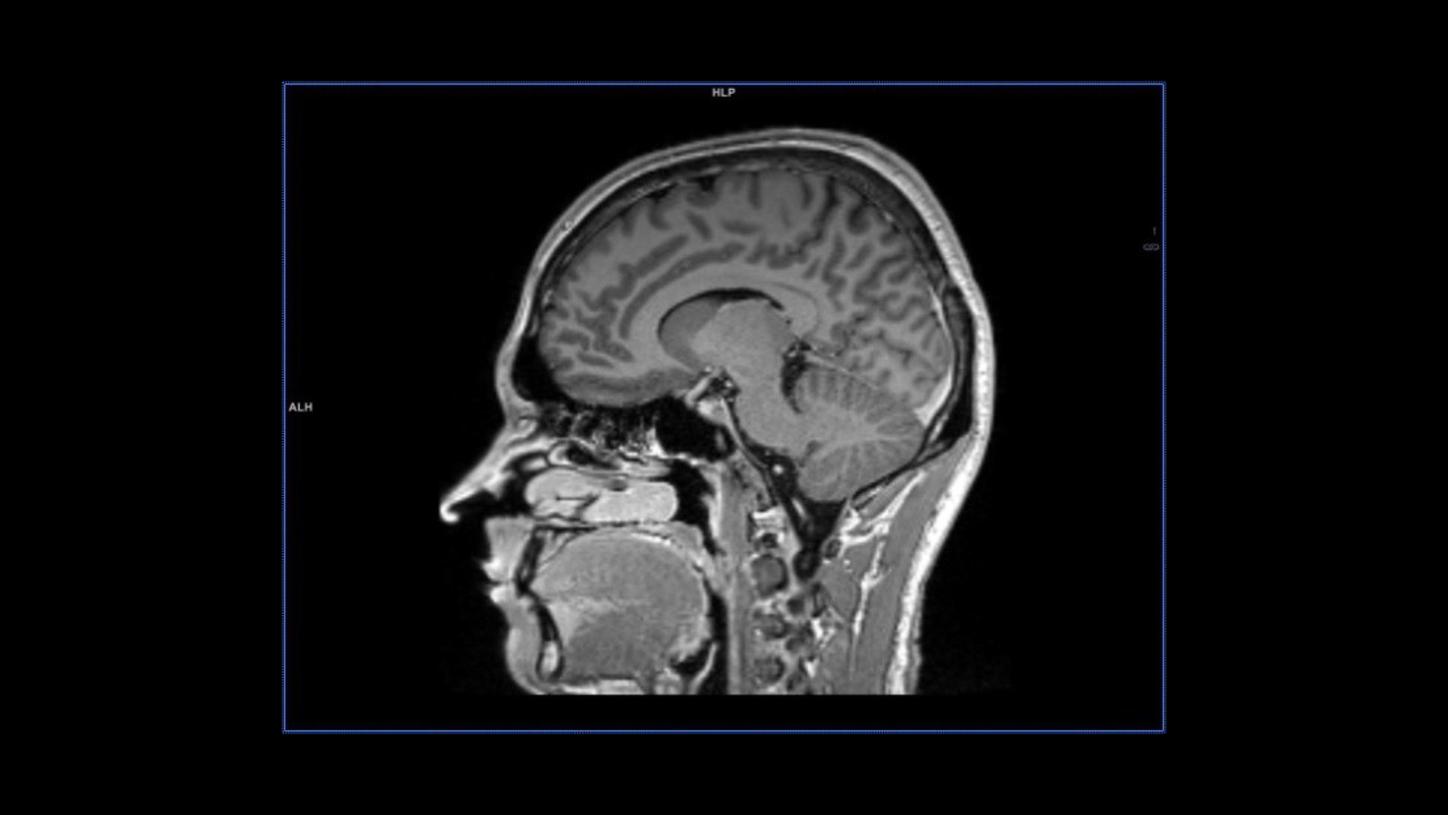
MAGNETOM Sola: T1 contrast sagittal MPRAGE

MAGNETOM Vida: Standard stroke protocol
example of hemorrhage visualization


Native syngo DynaCT Sine Spin
syngo DynaCT Sine Spin improves the image quality of cranial Flat-Detector CT (FDCT) scans, especially in the posterior fossa and the basal part of the skull. syngo DynaCT Sine Spin reduces artifacts caused by bony structures.
SPINNERS
Siemens Healthineers is the grant giver of the investigator-initiated SPINNERS study, a clinical trial planned and performed by Prof. Marios-Nikos Psychogios, University Hospital Basel, Switzerland and Dr. Adam S. Arthur, University of Tennessee Health Sciences Center and Semmes-Murphey Clinic, Memphis, US.
The study is designed to evaluate whether FDCT imaging with syngo DynaCT Sine Spin has likewise high diagnostic accuracy compared to Multi-Slice CT (MSCT) in detecting intracranial bleeding.
Find out more: Official Study Registry
Read more about the clinical investigators: One stop in stroke

syngo DynaCT Multiphase
AP projection
Lateral projectionFollow-up DSA to visualize treatment success

- Follow-up syngo DynaCT after clipping, with intravenous contrast media injection
- Axial maximum intensity projection of the clipped aneurysm

- Follow-up syngo DynaCT after clipping, with intravenous contrast media injection
- Dual-volume vessel presentation of the clipped aneurysm

Native head scan
Assist with or support differential diagnosis of acute stroke with excellent gray-white matter differentiation and contrast enhancement

Perfusion scan
Evaluation of infarct core and penumbra by automatically providing perfusion maps for further treatment decisions

Angiography
CT planning of the following treatment with definition of occlusion length and collateral status and automated bone removal

syngo.CT DE Brain Hemorrhage
Discriminate hemorrhage from iodine uptaking lesions

Cinematic VRT
Clearly visualize clots and get photorealistic and easy-to-understand material for education, publication, and communication

Bone removal solutions
Available for different acquisition techniques for automatic case preparation, image pre-processing, and prior study pre-fetching

GOBrain1) allows push-button brain exams in 5 minutes2)
1) Prakkamakul et al. “Ultrafast brain MRI: Clinical deployment and comparison to conventional brain MRI at 3T.” J of Neuroimaging 2016
2) MAGNETOM Skyra, Head 32 coil. Exam times will vary.

MAGNETOM Sola: T1 contrast sagittal MPRAGE

MAGNETOM Vida: Standard stroke protocol
example of hemorrhage visualization



AP projection
Lateral projection










Stroke partnerships around the world

Australia
Asia
Europe
North America

Vietnam
Transforming stroke care delivery
Stroke International Services (SIS)Stroke International Services (SIS) and Siemens Healthineers enter into a partnership to advance stroke management in Vietnam Stroke International Services (SIS) and Siemens Healthineers have entered into an 8-year Value Partnership to advance stroke management in Vietnam. As part of this long-term partnership, Siemens Healthineers will install innovative medical technology and robotic solutions, anchoring on various digitalization platforms, and will further develop its training centers to organize customized education programs on managing stroke, moving forward. This investment by SIS will focus on building a full stroke management network, with an extension to Ho Chi Minh city and Quang Nam province. For Siemens Healthineers, this will be the first Value Partnership focusing on stroke in Southeast Asia.
Customer case studies

7%1
Inpatient length of stay
- As part of our Value Partnership to reshape healthcare delivery, Medical University South Carolina (MUSC), USA and Siemens Healthineers aim to optimize stroke care within the community
- 7% reduction in inpatient length of stay for ischemic patients1

Optimized scheduling
- Optimize scheduling in new neuro-interventional area through digital twin-enhanced workflow simulation

Pioneer robotic capability3
Future value creation:
- Collaboration to pioneer neuro-interventional robotic capability
- Explore implementation of artificial intelligence to guide providers during thrombectomy

33%1
Improve outcome and quality of life for stroke patients
Consulting for optimization of clinical processes and workflows
- State-of-the-art imaging modalities to advance clinical capabilities and drive reputation
- 33% reduction in the degree of severity of symptoms at discharge1

27%1
Faster treatment
Optimize processes to shorten door-to-groin times
- Support during the planning and construction phase. Site planning taking into account process efficiency aspects and on-site coordination via dedicated project manager
- 27% reduction in door-to-groin time1

11%1
Reduction in cost per case
Increase overall profitability
- Asset and fleet optimization via IT analytics to standardize quality of care and ensure maximized returns
- 11.2% reduction in cost per case while number of cases increased by 15.1%1
Education

The role of imaging along the stroke pathway - clincal case studies
Explore how advanced imaging technologies, including MRI, CT, and angiography, are transforming stroke care across diverse clinical settings. From high-field to lower-field MRI systems these case studies highlight the pivotal role of imaging in identifying stroke type, location, and extent. Discover how these innovations are guiding treatment decisions and potentially reducing the risk of lasting damage.
Clinical trials on stroke
In recent years, various clinical trials have shown the advantages of performing endovascular thrombectomy in patients with a high stroke score as well as of one-stop stroke care.

The WAKE-UP trial shows favorable outcomes for acute ischemic stroke patients with an unknown stroke onset: Patients identified by DWI-FLAIR mismatch on MRI with subsequent thrombolysis had significantly better functional outcomes than the placebo group.7

The DAWN trial shows that time alone shouldn’t be a disqualifier for endovascular thrombectomy. For example: 48.6% of patients in the thrombectomy group experienced less disability, compared to 13% in the control group who received standard medical care.4

DEFUSE 3 shows favorable outcomes for late-window patients. For example: Mortality rate was 14% in the endovascular therapy group, compared to 26% in the medical therapy group. And there was no significant between-group difference in adverse events.4

ESCAPE trial “Among patients with acute ischemic stroke with a proximal vessel occlusion, a small infarct core, and moderate-to-good collateral circulation, rapid endovascular treatment improved functional outcomes and reduced mortality.” (from the publication)5

In their study, M. Psychogios et al. have shown that diagnosing and treating potential LVO patients on one system can save valuable time and significantly improve functional outcome.6

The WAKE-UP trial shows favorable outcomes for acute ischemic stroke patients with an unknown stroke onset: Patients identified by DWI-FLAIR mismatch on MRI with subsequent thrombolysis had significantly better functional outcomes than the placebo group.7

The DAWN trial shows that time alone shouldn’t be a disqualifier for endovascular thrombectomy. For example: 48.6% of patients in the thrombectomy group experienced less disability, compared to 13% in the control group who received standard medical care.4

DEFUSE 3 shows favorable outcomes for late-window patients. For example: Mortality rate was 14% in the endovascular therapy group, compared to 26% in the medical therapy group. And there was no significant between-group difference in adverse events.4

ESCAPE trial “Among patients with acute ischemic stroke with a proximal vessel occlusion, a small infarct core, and moderate-to-good collateral circulation, rapid endovascular treatment improved functional outcomes and reduced mortality.” (from the publication)5

In their study, M. Psychogios et al. have shown that diagnosing and treating potential LVO patients on one system can save valuable time and significantly improve functional outcome.6

The WAKE-UP trial shows favorable outcomes for acute ischemic stroke patients with an unknown stroke onset: Patients identified by DWI-FLAIR mismatch on MRI with subsequent thrombolysis had significantly better functional outcomes than the placebo group.7





Did this information help you?
Thank you.
The products/features mentioned herein are not commercially available in all countries. Their future availability cannot be guaranteed.
The statements by Siemens Healthineers’ customers described herein are based on results that were achieved in the customer's unique setting. Because there is no “typical” hospital or laboratory and many variables exist (e.g., hospital size, samples mix, case mix, level of IT and/or automation adoption) there can be no guarantee that other customers will achieve the same results.
https://www.strokeforum.com/overview/epidemiology
Planned future value creation
G. Thomalla et al., "MRI-Guided Thrombolysis for Stroke with Unknown Time of Onset"; N Engl J Med 2018; 379:611-622




