Cancer awareness autumn

Liver cancer: From diagnosis to personalized treatment 

A well-functioning liver is of vital importance. Its varied functions include supplying the brain with glucose, filtering toxins out of the blood, producing proteins, and much more. Learn about interesting facts, diagnosis, and therapy options.

Symptoms for liver cancer are often non-specific. Donald Chalfin's story is an urgent reminder to know the sings and be proactive if something feels wrong. 

Facts & figures

A healthy liver is able to perform its normal functions effectively, for example aiding digestion and breaking down harmful drugs and poisons. Continuous inflammation of the liver can lead to fibrosis – a formation of scar tissue within the liver. And extensive scarring can block the flow of blood through the liver and cause liver function to deteriorate over time. This is called cirrhosis and may eventually lead to hepatocellular carcinoma (HCC). 


Several types of cancer can form in the liver. The most common type of liver cancer is hepatocellular carcinoma (HCC), which begins in the main type of liver cell (hepatocyte). Other types of liver cancer, such as intrahepatic cholangiocarcinoma and hepatoblastoma, are much less common.

There are several factors that can lead to liver disease. Excessive alcohol consumption, obesity, diabetes, hepatitis infections, and excessive consumption of medication can all contribute to an inflamed liver and tissue damage.

Infographic on liver disease causes

Over 90 percent of cases of hepatocellular carcinoma (HCC) occur in patients with chronic liver disease. It is often described as a “silent killer” as patients can be at risk of death even without exhibiting symptoms. The signs and symptoms of liver cancer are most often the result of liver damage and may include yellowing of the skin, right-sided abdominal or shoulder blade pain, or a lump in the right upper abdomen. However, many of the warning signs are non-specific, such as weight loss and fatigue.

The liver does not have pain receptors. Patients cannot feel inflammation. This means the fibrosis of the liver usually remains undetected and early diagnosis is a challenge. Strictly speaking, fibrosis is not a disease in its own right as it only occurs as a symptom of other diseases. Its gradual progression is critical because medical research has previously assumed that scarring of the liver is irreversible once it has become advanced.

Diagnosis

Liver disease can be diagnosed in various ways. As the scar tissue accumulates, the liver loses some of its elasticity and becomes stiffer. An elastography or ELF test can help diagnose and monitor liver disease or damage.

A blood sample is taken. Three important serum markers can be detected with an automated analyzer and the risk of disease progression can be derived from these.
An illustration showing how a blood sample is taken from a right arm vein access.

A probe emits a mechanical pulse toward the liver. An integrated ultrasound transducer measures the velocity of the pulse wave between two points. The less elastic the liver tissue, the faster the pulse propagates through the liver.

An illustration shows how a probe emits a mechanical pulse towards the liver.
A tissue sample is taken from the liver with a cannula. The sample is then examined for scar tissue under a microscope.
An illustration shows how a tissue sample is taken from the liver with a cannula.

By contrast, diagnosing liver cancer requires a physical examination and special medical tests. Diagnosis of hepatocellular carcinoma (HCC) is done using imaging tools like ultrasound, computed tomography (CT), or magnetic resonance imaging (MRI) and in many cases doesn’t even require biopsy.

Siemens Healthineers provides imaging technology and the smart imaging value chain that enable reliable therapy decisions. Sometimes a liver biopsy is performed to confirm the diagnosis of liver cancer. Genetic testing of the cancer can help determine the best type of treatment for the patient.

Infografik showing portfolio for liver cancer pathway from early detection over treatment to follow-up

Like many patients, Tony Villiotti had never heard of non-alcoholic fatty liver disease (NAFLD) when his doctor first told him about this increasingly common condition. But after developing liver cancer and finally undergoing a liver transplant, he founded a non-profit organization known as NASH kNOWledge to raise awareness of the importance of early diagnosis.


Tony Viliotti talking about his diagnosis of non-acoholic fatty liver disease

Therapy options

There are a range of therapy options for treating hepatocellular carcinomas (HCC).
A surgeon is preparing for needle resection of a liver tumor
Liver resection is the gold standard for radical treatment of liver metastases and in many cases the main treatment of primary tumors. Making full use of our imaging systems, the image-guided surgery maximizes the amount of healthy liver left behind while ensuring adequate oncological margins. This potentially increases the number of patients who can be treated.
A thin, needle-like probe is inserted into the tumor through the skin.

Radiofrequency ablation is one of the most common ablation methods for small tumors, mainly of the liver. It uses high-energy radio waves. The clinician inserts a thin, needle-like probe into the tumor through the skin. A high-frequency current is then passed through the tip of the probe, which heats the tumor and destroys the cancer cells. It can be applied as an alternative to surgery or in addition to surgery, chemotherapy, embolization, or radiation therapy.

Predefined color coding facilitates finding the optimal treatment position for each tumor nodule.

Embolization combines the effects of regional chemotherapy with those of ischemic necrosis induced by arterial embolization. It takes advantage of the fact that the perfusion of hepatocellular carcinomas (HCC) and liver metastases from other types of cancer is mostly through hepatic arteries, allowing interventional radiologists to selectively deliver anti-tumor substances through the arteries.

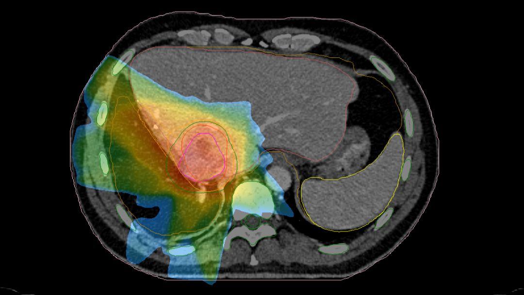
Radiation oncology image showing colour-coded organs at risk

Radiation therapy is a treatment that uses ionizing radiation to either kill malignant cancer cells or at least control their growth. The most common type of radiation therapy is external-beam radiation therapy that is normally delivered using a linear accelerator. The aim of radiation therapy is to treat cancer without damaging healthy cells as much as possible. It can be used in combination with other cancer treatments, such as chemotherapy or surgery.

How can we save healthy liver tissue but also eliminate the whole tumor? Bernhard Meyer, MD, from Hannover Medical School in Germany uses innovative technology and empathy to treat his patients.



There are many stages in liver disease and patients could be treated if they were diagnosed early enough. So there is a need for both early diagnosis and better therapy options. Chloé Audigier is developing a digital twin of the liver as such models could help clinicians simulate or test several therapy options virtually before performing them on the actual patient.


Picture of Chloé Audigier

Digital twins in cancer care
00
Digital twins in cancer care
0:000:00
0:00
Find out how digital twins could transform the entire cancer care path – from early detection to treatment and follow-up care. You’ll also learn how a digital twin of an organ is created. And you’ll hear what digital twin technology could mean for patients, clinicians, and the future of oncology.