Prostatakrebs
Cancer awareness

Prostatakrebs: Fakten, Diagnose und Behandlung

Prostatakrebs betrifft viele Männer, doch die ersten Anzeichen können subtil sein. Erfahren Sie mehr über die Risikofaktoren, Symptome, Diagnose und Therapien.

Für Menschen, die von Krebs betroffen sind, sind es manchmal die kleinen Dinge, die einen großen Einfluss auf ihre Lebensqualität haben können. Shelby Moneer von ZERO Prostate Cancer, einer gemeinnützigen Organisation, die sich für Patienten einsetzt, erklärt, warum es für Patienten wichtig ist, ihre Geschichten zu erzählen.

Fakten

Prostatakrebs ist nach wie vor eine herausfordernde und komplexe Erkrankung mit erheblichen Komplikationen und unvorhersehbaren Behandlungsergebnissen. Trotz der Fortschritte, die in den letzten Jahren erzielt wurden, bleibt er die fünfthäufigste Todesursache weltweit und die zweithäufigste Krebsdiagnose bei Männern [1].

Prostatakrebs ist bereits heute eine der Hauptursachen für Tod und Behinderung, und in mehr als 100 Ländern die häufigste Form von Krebs bei Männern. Angesichts der Alterung der Bevölkerung und der weltweit steigenden Lebenserwartung, prognostiziert eine neue Analyse einen dramatischen Anstieg der Fälle und Todesfälle in den nächsten 15 Jahren. Es wird prognostiziert, dass die Zahl der Diagnosen von 1,4 Millionen pro Jahr im Jahr 2020 auf 2,9 Millionen im Jahr 2040 ansteigen wird [5].

Es ist möglich das Risiko, an Prostatakrebs zu erkranken, zu verringern. Regelmäßige körperliche Aktivität und eine ausgewogene Ernährung können helfen, ein gesundes Gewicht zu halten. Und da Fettleibigkeit mit einem erhöhten Risiko für aggressiven Prostatakrebs in Verbindung gebracht wird, kann ein gesundes Gewicht dieses Risiko verringern [8].

Männer sollten sich regelmäßig medizinischen Vorsorgeuntersuchungen unterziehen, wie z.B.:

  • Blutuntersuchungen: Regelmäßige Tests auf Prostatakrebs können helfen, die Krankheit frühzeitig zu erkennen, wenn sie am besten behandelbar ist.
  • Digitale rektale Untersuchung (DRE): Bei einer digitalen rektalen Untersuchung tasten Ärzt*innen die Rückwand der Prostata auf Vergrößerungen, Druckempfindlichkeiten, Knoten oder harte Stellen ab.

Die Symptome von Prostatakrebs können variieren und sind im Frühstadium möglicherweise nicht wahrnehmbar. Anfangs kann eine Verzögerung beim Wasserlassen bemerkt werden. Mehrmals in der Nacht mit einem starken Harndrang aufzuwachen, kann den Schlaf stören und zu morgendlicher Müdigkeit führen.

Mit der Zeit kann sich ein brennendes Gefühl beim Urinieren entwickeln. Wird später Blut im Urin und anschließend im Sperma festgestellt, ist es wichtig, zeitnah ärztliche Hilfe zu suchen, da dies auf eine ernsthafte Erkrankung hinweisen kann [9].

Das Bild veranschaulicht häufige Symptome im Zusammenhang mit Prostatakrebs

Diagnose und Staging

Was passiert, wenn Ärzt*innen vermuten, dass ein Patient Prostatakrebs haben könnte?

Für eine Diagnose wird der Patient nach den oben beschriebenen Symptomen und nach möglichen Risikofaktoren einschließlich seiner Familiengeschichte befragt. Im Falle eines Verdachts können Ärzt*innen einige Tests anordnen.

PSA-Bluttest

Prostata-spezifisches Antigen (PSA) ist ein Protein, das von gesunden und bösartigen Zellen der Prostata gebildet wird. PSA zirkuliert auf zwei Arten durch den Körper: entweder gebunden an andere Proteine oder frei, also nicht gebunden. PSA wird im Blut von Männern mit einer normalen Prostata nachgewiesen und findet sich auch in gutartigem (Prostatitis, BPH) und bösartigem Prostatagewebe [10,11].

Der PSA-Test ist für die Messung des Gesamt-PSA (sowohl freies als auch komplexiertes PSA) in Verbindung mit der Digitalen Rektaluntersuchung (DRE) als Hilfsmittel zur Erkennung von Prostatakrebs bei Männern ab 50 Jahren angezeigt. Der PSA-Test wird auch als Hilfsmittel bei der Überwachung von Patienten mit Prostatakrebs eingesetzt. Der Test auf freies PSA (fPSA) wird in Verbindung mit dem Gesamt-PSA-Test bei Männern ab 50 Jahren verwendet, um den prozentualen fPSA-Wert zu bestimmen. Der prozentuale fPSA-Wert kann als Hilfsmittel bei der Unterscheidung zwischen Prostatakrebs und einer gutartigen Prostataerkrankung verwendet werden. Das Prostatakrebsrisiko steigt, wenn das Verhältnis von fPSA zu Gesamt-PSA sinkt [10,12].

Bildgebende Verfahren bei Prostatakrebs

Bildgebende Verfahren spielen eine Schlüsselrolle bei der Diagnose und Stadieneinteilung von Prostatakrebs. Bei diesen Untersuchungen werden Magnetfelder (Magnetresonanztomographie), Schallwellen (Ultraschall), Röntgenstrahlen (Computertomographie) oder radioaktive Substanzen (Positronen-Emissions-Tomographie) verwendet, um Bilder der Prostata zu erstellen. Ein oder mehrere bildgebende Verfahren können verwendet werden, um nach Krebs in der Prostata zu suchen oder um Ärzt*innen zu helfen, die Prostata während bestimmter Eingriffe zu sehen [13].

Magnetresonanztomographie

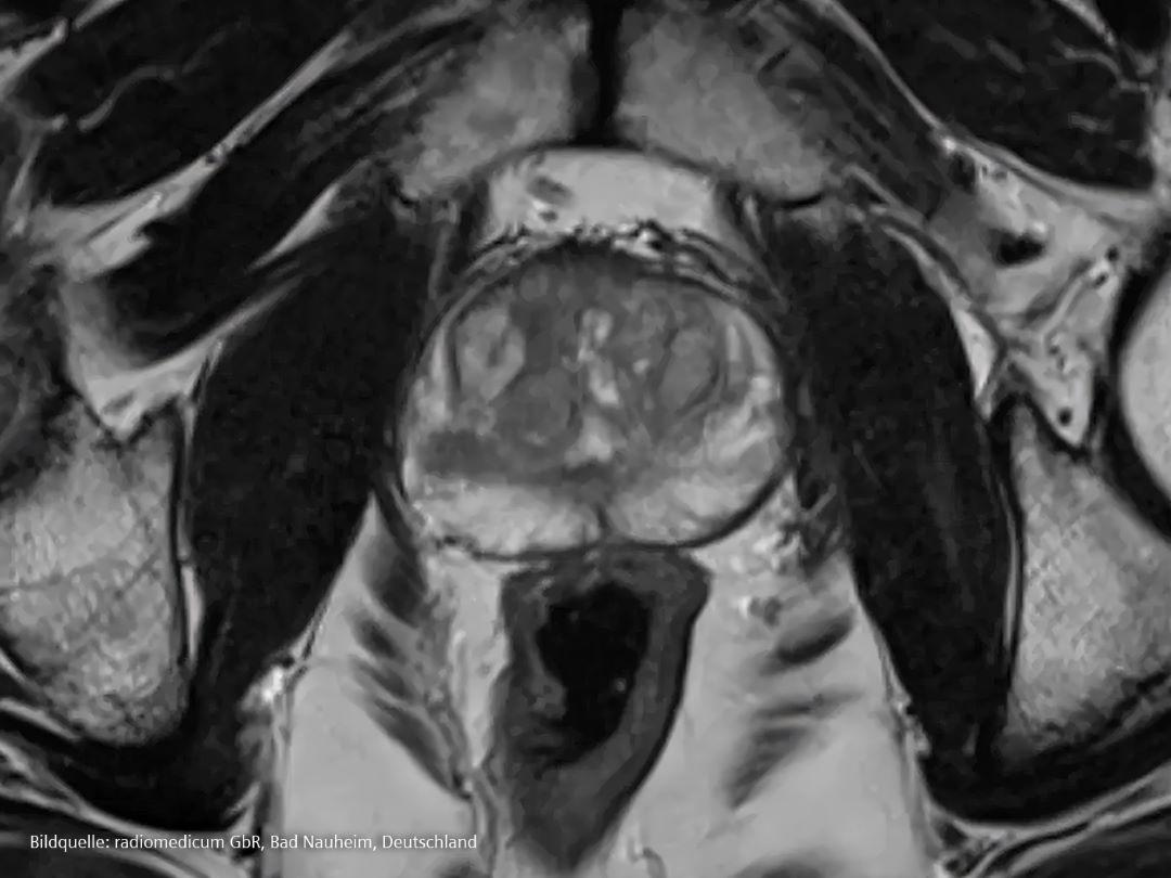
Die Magnetresonanztomographie (MRT) ist ein wichtiges Instrument bei der Behandlung von Prostatakrebs, da sie zu einer früheren Erkennung, einer präziseren Diagnose und einer auf den einzelnen Patienten zugeschnittenen Behandlung beitragen kann. Die MRT kann Weichteilgewebe und Tumore klar darstellen und ist besonders nützlich für Prostatakrebs. 

Im Gegensatz zu anderen bildgebenden Verfahren werden bei der MRT Magneten verwendet, um detaillierte Bilder der Prostata und des umliegenden Gewebes zu erstellen. Die MRT gibt Ärzt*innen Aufschluss darüber, wie wahrscheinlich es ist, dass der Patient Krebs in der Prostata hat. Sie kann ihnen bei der Entscheidung helfen, ob eine Biopsie erforderlich ist und wo in der Prostata Proben entnommen werden sollten [13].

Wenn die Ergebnisse eines PSA-Bluttests oder anderer Tests auf Prostatakrebs hindeuten und sich der Verdacht auf den klinischen Bildern bestätigt, benötigt der Patient höchstwahrscheinlich eine Prostatabiopsie. Eine Kernnadelbiopsie ist eine wichtige Methode zur Diagnose von Prostatakrebs. Sie wird in der Regel von Urolog*innen durchgeführt. Wenn bei einer Biopsie Krebszellen gefunden werden, können diese auch auf bestimmte Gen- oder Proteinveränderungen getestet werden, die die Behandlungsmöglichkeiten beeinflussen könnten [2,15].

  • Transrektale Ultraschall (TRUS)-gesteuerte systematische Biopsie
    Bei einer transrektalen Ultraschall (TRUS)-gesteuerten Biopsie wird eine Nadel mittels Ultraschall geführt, um Gewebeproben von 12 Stellen in der Prostata zu entnehmen, hauptsächlich aus dem hinteren Bereich.
  • Transperineale Biopsie (TPB)
    Bei einer transperinealen Biopsie (TPB) wird ein Schablonengitter verwendet, um die Nadel durch das Perineum (Damm) für die Entnahme in der Prostata zu leiten. So wird die Genauigkeit erhöht, indem mehr Bereiche abgedeckt werden. Bei etwa 26 bis 36 Prozent der Patienten, bei denen eine TPB vor oder nach einer TRUS-Biopsie durchgeführt wurde, wurden neue Krebsläsionen oder eine weiter fortgeschrittene Erkrankung gefunden [16,17].
  • MRT-gesteuerte Prostatabiopsie
    Diese neuere Methode kombiniert MRT- und Ultraschallbilder, um bestimmte Bereiche für die Biopsie zu bestimmen, anstatt einen blinden systematischen Ansatz zu verfolgen.
  • Transurethrale Biopsie
    Die transurethrale Biopsie ist eine weniger verbreitete Technik, bei der ein Zystoskop durch die Harnröhre eingeführt wird, um Prostatagewebeproben aus der Harnröhrenwand zu entnehmen.
  • Biopsie der Lymphknoten
    Bei der Lymphknotenbiopsie (Lymphadenektomie) werden ein oder mehrere Knoten entfernt, um sie auf Krebs zu untersuchen. Sie kommt selten bei Prostatakrebs zum Einsatz, hilft aber dabei bei der Beurteilung, ob sich die Krankheit auf nahe gelegene Knoten ausgebreitet hat.


Das klinische Staging hilft bei der Entscheidung, ob zusätzliche Tests erforderlich sind. Das pathologische Staging – basierend auf den Informationen, die während der Operation gewonnen wurden, einschließlich der Entfernung der Prostata und möglicherweise der Lymphknoten – wird zur Bestimmung des Gleason-Scores und der Gradgruppe verwendet.

Die Bestimmung des Stadiums von Prostatakrebs ist wichtig für die Behandlungsentscheidungen.
Es hilft:

  • das Risiko eines erneuten Auftretens oder einer Ausbreitung von Krebs nach der Erstbehandlung zu beurteilen
  • die Prognose vorherzusagen
  • die Wirksamkeit einer Behandlung zu bewerten
Der Gleason-Score stuft die Aggressivität von Prostatakrebs auf der Grundlage des Zellbildes in einer Biopsie ein.

Behandlung

Frühzeitig erkannter Prostatakrebs ist sehr gut heilbar.

Wenn Krebs behandelt wird, bevor er sich ausbreitet, können viele Menschen ein langes, krebsfreies Leben führen. Es gibt mehrere Therapieoptionen für Patienten mit Prostatakrebs, denn die Behandlung ist so individuell wie der Patient, der sie benötigt [20,21].
98% Fünf-Jahres-Überlebensrate alle Stadien kombiniert
Wachsames Abwarten und aktive Überwachung sind Ansätze für Männer ohne Symptome oder mit anderen Erkrankungen. Beim kontrollierten Abwarten wird der Patient ohne Behandlung überwacht, bis Symptome auftreten oder sich verändern. Bei der aktiven Überwachung wird der Patient ebenfalls beobachtet, aber regelmäßig untersucht, um frühe Anzeichen für ein Fortschreiten des Krebses zu erkennen. Die Behandlung wird eingeleitet, wenn der Krebs Anzeichen von Wachstum zeigt.

Patienten bei guter Gesundheit, deren Tumor sich nur in der Prostata befindet, können mit einer Operation zur Entfernung des Tumors behandelt werden. Es werden verschiedene Arten von Operationen angewandt:

  • Die radikale Prostatektomie ist ein chirurgischer Eingriff zur Entfernung der Prostata, des umgebenden Gewebes und der Samenblasen. Gleichzeitig kann eine Entfernung der nahegelegenen Lymphknoten erfolgen.
  • Die pelvine Lymphadenektomie ist ein chirurgischer Eingriff zur Entfernung der Lymphknoten im Becken. Patholog*innen betrachtet das Gewebe unter einem Mikroskop, um nach Krebszellen zu suchen. Wenn die Lymphknoten Krebs enthalten, wird die Prostata nicht entfernt und möglicherweise eine andere Behandlung empfohlen werden.
  • Die transurethrale Resektion der Prostata ist ein Verfahren zur Entfernung von Prostatagewebe mit Hilfe eines durch die Harnröhre eingeführten Resektoskops. Dieser Eingriff wird manchmal durchgeführt, um die durch einen Tumor verursachten Symptome zu lindern, bevor eine andere Krebsbehandlung durchgeführt wird.

Ein Rektoskop ist ein medizinisches Instrument, das zur Untersuchung des Rektums und des unteren Dickdarms verwendet wird. Es besteht aus einem starren Rohr mit einer Kamera, die Diagnosen oder kleinere Eingriffe ermöglicht.

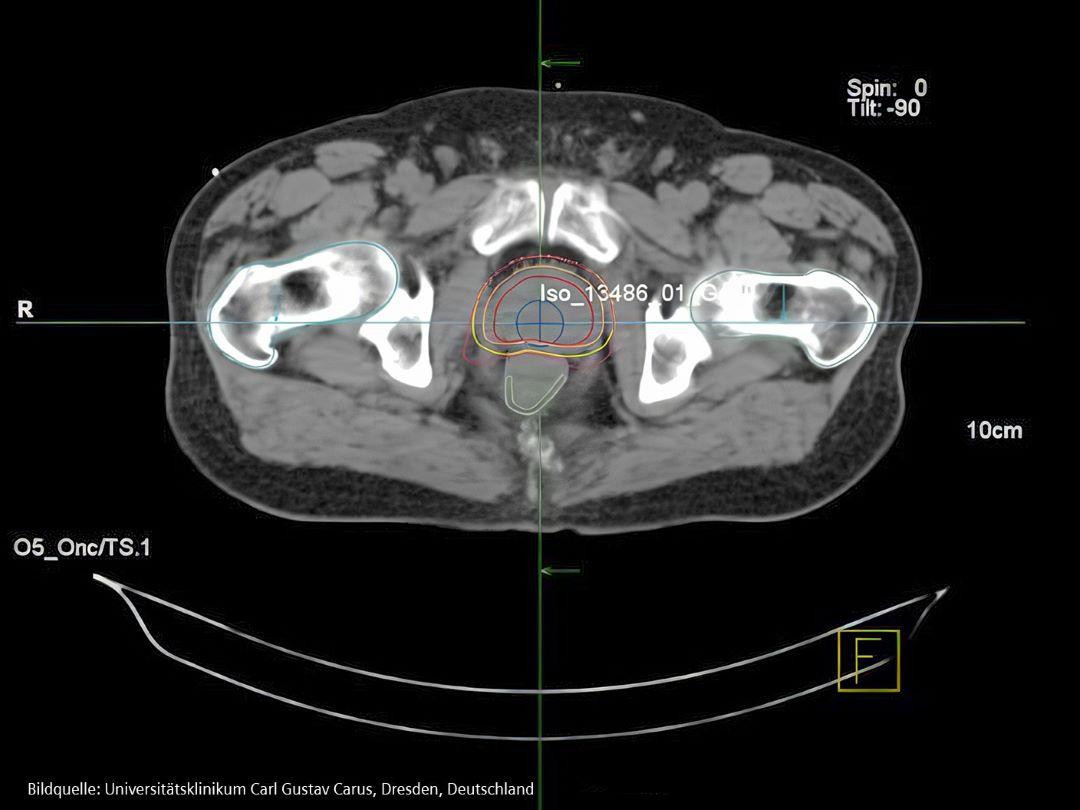
Bild von Varian Eclipse Intensity Modulated Radiotherapy Plan für Prostatakrebs-Patient
IMRT is advanced radiation therapy that targets tumors with adjustable beams, minimizing damage to healthy tissue and reducing side effects.

Die Strahlentherapie (auch Radiotherapie, RT) ist eine Krebsbehandlung, bei der hochenergetische Röntgenstrahlen oder andere Arten von Strahlung eingesetzt werden, um Krebszellen abzutöten oder ihr Wachstum zu verhindern. Es gibt verschiedene Arten der Strahlentherapie:

Die externe Strahlentherapie, die häufigste Form der RT, verwendet hochenergetische Röntgenstrahlen, um Krankheiten gezielt zu behandeln. Das hochentwickelte Gerät, das die Strahlentherapie durchführt, heißt Linearbeschleuniger oder kurz "Linac".

Bei der hypofraktionierten Strahlentherapie handelt es sich um eine Strahlenbehandlung, bei der im Vergleich zur Standard-Strahlentherapie einmal täglich eine größere Gesamtstrahlendosis als üblich über einen kürzeren Zeitraum verabreicht wird. Sie kann je nach verwendetem Schema erhöhte Nebenwirkungen haben als eine Standard-Strahlentherapie.

Bei der Brachytherapie werden dem Patienten radioaktive Strahlenquellen eingesetzt, um Krebszellen abzutöten. Bei Prostatakrebs im Frühstadium werden die radioaktiven sogenannten Seeds mit Hilfe von Nadeln in der Prostata platziert. Die Platzierung der radioaktiven Seeds in der Prostata wird durch Bilder aus dem transrektalen Ultraschall oder der Computertomographie gesteuert.

Die Magnetresonanztomographie kann zusätzliche Erkenntnisse für eine präzise Planung der Prostata-Strahlentherapie liefern. Während die Prostata das primäre Ziel der Bestrahlung ist und die volle Dosis erhalten sollte, ist sie von Organen umgeben, die empfindlich auf die Wirkung der Strahlung reagieren und so weit wie möglich geschont werden sollten. MRT-Bilder können diese Anatomie kontrastreicher darstellen und helfen dem Planer so, einen individuellen Plan zu erstellen. Im Verlauf der Behandlung können diffusionsgewichtete MRT Aufschluss darüber geben, ob die Behandlung anschlägt.

Die Protonentherapie ist eine Form der externen Strahlentherapie, bei der Protonen anstelle von hochenergetischen Röntgenstrahlen verwendet werden. Dadurch können bestimmte Krebsarten präziser und mit potenziell weniger Nebenwirkungen behandelt werden als mit der herkömmlichen Strahlentherapie [22]. Bei der Protonentherapie ist das Risiko einer Schädigung des gesunden Gewebes und potenzieller Nebenwirkungen geringer, da ein Protonenstrahl die Dosis an der Tumorstelle ablagert anstatt den ganzen Weg durch den Patienten zu gehen.

Radioonkolog*innen bestimmen die am besten geeignete Behandlung für jeden Patienten, und das medizinische Team passt die Behandlung an die jeweilige Situation des Patienten an.


Die diffusionsgewichtete MRT verwendet spezielle Sequenzen, die die Diffusion von Wassermolekülen messen, um einen Kontrast in MR-Bildern zu erzeugen.

Die Hormontherapie bekämpft den Krebs, indem sie die Hormone, die das Wachstum des Krebses fördern, entweder entfernt oder blockiert. Da Hormone - Substanzen, die von Drüsen produziert werden und im Blutkreislauf zirkulieren - Prostatakrebs auslösen können, zielt diese Behandlung darauf ab, die männlichen Sexualhormone, die das Tumorwachstum fördern, zu reduzieren oder zu blockieren. Dies kann durch Medikamente, eine Operation oder andere hormonelle Eingriffe erreicht werden.
Die Chemotherapie ist eine Krebsbehandlung, bei der Medikamente eingesetzt werden, um das Wachstum von Krebszellen zu stoppen, indem sie die Zellen entweder abtöten oder sie an der Teilung hindern. Wenn die Chemotherapie oral eingenommen oder in eine Vene oder einen Muskel injiziert wird, gelangen die Medikamente in den Blutkreislauf und können Krebszellen im ganzen Körper erreichen.
Die gezielte Therapie ist eine Art der Behandlung, bei der Medikamente oder andere Substanzen eingesetzt werden, um bestimmte Krebszellen zu identifizieren und anzugreifen. Sie schadet den gesunden Zellen in der Regel weniger als eine Chemo- oder Strahlentherapie.
Die Immuntherapie ist eine Behandlung, bei der das Immunsystem des Patienten zur Krebsbekämpfung eingesetzt wird. Körpereigene oder in einem Labor hergestellte Substanzen werden verwendet, um die natürlichen Abwehrkräfte des Körpers gegen Krebs zu stärken, zu lenken oder wiederherzustellen. Diese Krebsbehandlung ist eine Art der biologischen Therapie.

Theranostik revolutioniert die personalisierte Medizin durch den Einsatz von molekularer Bildgebung und Radioisotopen zur gezielten Bekämpfung der Krankheit. Die Behandlung von Prostatakrebs mit Theranostik bringt die personalisierte Medizin voran, indem die Krankheit mit individualisierter Präzision diagnostiziert und behandelt wird [23].

Bei der Theranostik setzen Ärzt*innen zunächst ein radioaktives Medikament ein, um Krebszellen zu lokalisieren und zu markieren. Wenn diese Radiotracer dem Patienten verabreicht werden, binden sie sich an bestimmte Moleküle oder Zellen, die mit der Krankheit in Verbindung stehen. Sobald die Tracer die Krankheit identifizieren, werden therapeutische Wirkstoffe – oft ebenfalls radioaktiv – verabreicht. Diese therapeutischen Wirkstoffe sind so konzipiert, dass sie die identifizierten kranken Zellen oder Gewebe gezielt angreifen und zerstören. Sowohl die diagnostischen als auch die therapeutischen Medikamente zielen auf das gleiche molekulare Ziel auf den Krebszellen ab und ermöglichen so einen präzisen Angriff, der die Behandlungsergebnisse verbessern und die Nebenwirkungen minimieren kann.

Zwei Aufnahmen: eine vor und eine nach der Behandlung PSMA PET/CT

Um sicherzustellen, dass Prostatakrebs nach der Behandlung wirklich verschwunden ist, bedarf es eines wachsamen und kontinuierlichen Überwachungs- und Pflegeprozesses. Der Eckpfeiler dieses Prozesses sind regelmäßige PSA-Tests, insbesondere in den kritischen ersten Jahren nach der Behandlung. Neben den PSA-Tests stützen sich die Ärzt*innen häufig auf körperliche Untersuchungen wie digitale rektale Untersuchungen und bildgebende Verfahren wie MRT, CT oder PSMA PET/CT, um nach Anzeichen zu suchen, die darauf hindeuten, dass der Krebs noch vorhanden sein könnte.

In Fällen, in denen Unsicherheiten bestehen, kann eine Biopsie durchgeführt werden, um zu bestätigen, ob noch Krebszellen vorhanden sind. Auch die Überwachung auf neue Symptome ist entscheidend: Ungeklärte Knochenschmerzen oder Harnprobleme könnten beispielsweise Indikatoren sein, die weitere Untersuchungen erfordern. In einigen Fällen können zusätzliche Behandlungen wie Hormontherapie oder Bestrahlung empfohlen werden, um verbliebene Krebszellen, die möglicherweise übersehen wurden, zu beseitigen [24-26].

Krebsstadium zum Zeitpunkt der Diagnose: Bei 10-20% der Männer wird ein metastasierter PCa diagnostiziert und bei 80-90% der Männer ein lokalisierter PCa

Das Fortschreiten von Prostatakrebs ist oft langwierig und langsam. Eine kontinuierliche Überwachung während des gesamten Lebensweges des Patienten kann den Ärzt*innen helfen, Bedürfnisse zu erkennen und unterstützende Maßnahmen anzubieten, um die Lebensqualität insgesamt zu verbessern [25]. 

Die Ganzkörper-MRT mit Diffusionssequenzen kann die Erkennung von Krankheiten bei Prostatakrebspatienten mit einer hohen Prävalenz metastasierter Knochenerkrankungen verbessern. syngo.MR OncoTrend ermöglicht eine präzise Überwachung onkologischer Läsionen und hilft dabei festzustellen, ob die Behandlung wirksam ist oder möglicherweise überdacht werden muss. 

Die frühzeitige Einbeziehung der Palliativversorgung kann dazu beitragen, die allgemeine Lebensqualität zu verbessern, indem Symptome, Schmerzen und Stress im Zusammenhang mit der Krankheit überwacht werden [25,26].

In den letzten 30 Jahren hat die Häufigkeit von Prostatakrebs unabhängig vom Einkommensniveau zugenommen. Die Zahl der weltweiten Todesfälle durch Prostatakrebs wird in den nächsten 20 Jahren voraussichtlich um 85 Prozent steigen, von 375.000 im Jahr 2020 auf fast 700.000 im Jahr 2040. 

Expert*innen gehen davon aus, dass die tatsächliche Zahl der Todesfälle aufgrund von Unterdiagnosen und fehlenden Daten in Ländern mit niedrigem und mittlerem Einkommen wahrscheinlich höher ist [4]. Länder mit höherem Einkommen hatten die höchste Krebsinzidenz, aber auch den stärksten Rückgang der Sterblichkeitsraten zu verzeichnen, während Länder mit niedrigerem Einkommen mit einem geringeren Anstieg, aber höheren Sterblichkeitsraten konfrontiert waren [27].

In Gebieten mit soliden Testprogrammen werden PSA-Tests häufig von Hausärzt*innen durchgeführt, oft während routinemäßiger Besuche. Routinemäßige Vorsorgeuntersuchungen können zur Früherkennung von Prostatakrebs führen, oft noch bevor Symptome auftreten. Dies ermöglicht eine frühere Intervention, was bei einigen Männern die Ergebnisse verbessern und die Sterblichkeit senken kann.

Zwar gibt es immer noch Ungleichheiten bei der Behandlung von Prostatakrebs, aber es werden auch Fortschritte gemacht. Eine aktuelle Analyse der American Cancer Society zeigt, dass sich die Lücke in der Krebssterblichkeit insgesamt schließt, was vor allem auf einen bemerkenswerten Rückgang der Lungen- und Prostatakrebsraten zurückzuführen ist. Die Daten geben einen vielversprechenden Ausblick und deuten darauf hin, dass Fortschritte bei der Früherkennung, dem Zugang zur Versorgung, den Behandlungsmethoden und der Teilnahme an klinischen Studien die Ergebnisse für alle Prostatakrebspatienten verbessern könnten [28].